طرائف و منوّعات

يتميز «متجر الصدق» بالخدمة الذاتية.
20:45 - 2018/11/27
أطلقت 300 عروس تايلاندية نفسها لعنان الريح في مدينة بانكوك السبت الماضي للمشاركة في «سباق العرائس» السنوي الذي يمتد مسافة 3 كيل
20:45 - 2018/11/27
انتشر على مواقع التواصل الاجتماعي مقطع فيديو من اليمن يظهر فيه حكم مسلح ينظم مباراة كرة قدم في إحدى قرى محافظة شبوة اليمنية.
20:45 - 2018/11/27
أطلقت مدينة تولسا بولاية أوكلاهوما الأمريكية مبادرة تهدف إلى استقطاب العاملين إليها ومن ثم تعزيز فرص النمو الاقتصادي.
12:01 - 2018/11/27
كشف مسؤولو السلامة الجوية في أستراليا، تجاوز طائرة صغيرة لوجهتها بمسافة 50 كيلومترا تقريبا، بعدما غلب النوم قائد الطائرة في قمر
11:30 - 2018/11/27
أفادت وسائل إعلام، بأن السلطان محمد الخامس ملك ماليزيا تزوج من الروسية أوكسانا فويفودينا، الفائزة بمسابقة "ملكة جمال موسكو -201
23:29 - 2018/11/26
خوفا من الوحدة، وبحثا عن شعور الأبوة، ولغاية في نفسه، اتخذ رجل هولندي قرارا استثنائيا بأن يصبح أبا لأكثر من 200 شخص، بعد أن تحو
20:50 - 2018/11/26
أثار مصور الباباراتزي، دارين ليونز، شكوكا جديدة بشأن التفاصيل الرسمية لوفاة الأميرة البريطانية الراحلة ديانا، قائلا إن لديه «أس
20:50 - 2018/11/26
وفقا لفيلم وثائقي عن العلاقات في عائلة دوق كامبردج، للصحفي آشلي بيرسون، فإن كيت ميدلتون، حاولت في يوم زفافها من الأمير ويليام ا
20:50 - 2018/11/26
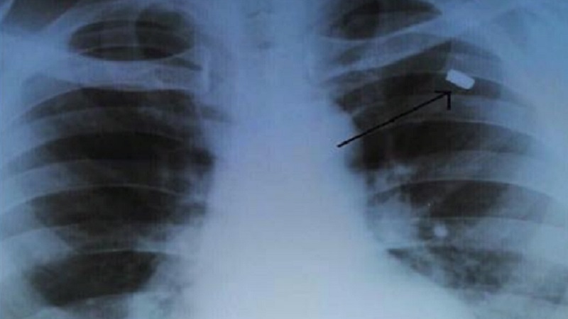
نجح أطباء من مدينة نالتشيك، عاصمة قبردين بلقار الروسية، بإجراء عملية جراحية معقدة استخرجوا فيها رصاصة
15:02 - 2018/11/26