عملية مسح تكشف كيف "يلتهم" الكوكايين الدماغ
تاريخ النشر : 12:07 - 2019/08/04
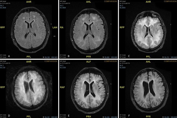
أظهرت فحوصات للدماغ واقعا مخيفا حول تعاطي كميات كبيرة من الكوكايين، حيث تكشف الصور كيف يمكن للفئة "أ" من المخدرات "التهام الدماغ"، ما يسبب الإعاقة أو الموت في أسوأ الأحوال.
وحذر الأطباء من التأثير الجانبي النادر، بعد أن كشف تصوير بالرنين المغناطيسي لمتعاطي كوكايين نقله والداه إلى المستشفى في مسيدا، بمالطا، عن الضرر الشديد الذي يمكن أن يسببه المخدر من الفئة "أ" مع مرور الوقت.
وكان متعاطي الكوكايين البالغ من العمر 45 عاما، يتصرف بشكل غريب، قبل أن يدرك المسعفون أنه يعاني من اعتلال دماغي عضلي سميك ناجم عن جرعة زائدة من المخدر من فئة "أ".
ولاحظ الأطباء أن قرنيتي عيني الرجل كانتا تتوسعان ومتفاعلتين سريعا مع الضوء، ولم يكن المريض قادرا على أداء مهام بسيطة فضلا عن أنه لم يتمكن من الاستجابة لأي أوامر.
وأوضحت الدكتورة ييلنيا عبد الله، التي عالجت الرجل الذي لم يكشف عن هويته: "إنه اضطراب نادر يمكن أن يسبب إعاقة كبيرة".
وأشارت إلى أن تقرير الحالة الطبية يدفع إلى زيادة الوعي بهذا السلوك المدمر، قائلة إن تشخيص هذه الحالة نادر عموما لكنها قد تكون قاتلة سريعة، إلا أن بعضها يمكن أن يتعافى تماما، كما وقع مع حالة هذا الرجل.
وأرسل فريق الدكتورة ييلنيا المريض لإجراء فحوصات الرنين المغناطيسي على دماغه، وكشفوا عن أضرار للمادة البيضاء في الدماغ، وقام الأطباء بتشخيصه بالحالة النادرة الناجمة عن اعتلال بيضاء الدماغ السامة (ويسمى أيضا مرضة المادة البيضاء) الناجم عن الكوكايين، والذي يكون في أغلب الحالات المماثلة قاتلا.
وعالج الفريق المريض عن طريق إعطائه منشطات ووحدات لتبديل البلازما و الأجسام المضادة، كما تم نقله إلى منشأة لإعادة التأهيل، حيث ظهرت عليه علامات التحسن.
وبعد عام من الانقطاع عن تعاطي الكوكايين، عاد المريض للمعاينة، حيث وجد الأطباء عند فحص دماغه أنه ما تزال هناك "تغييرات دائمة في المادة البيضاء"، بينما كانت الاختبارات العصبية طبيعية.

أظهرت فحوصات للدماغ واقعا مخيفا حول تعاطي كميات كبيرة من الكوكايين، حيث تكشف الصور كيف يمكن للفئة "أ" من المخدرات "التهام الدماغ"، ما يسبب الإعاقة أو الموت في أسوأ الأحوال.
وحذر الأطباء من التأثير الجانبي النادر، بعد أن كشف تصوير بالرنين المغناطيسي لمتعاطي كوكايين نقله والداه إلى المستشفى في مسيدا، بمالطا، عن الضرر الشديد الذي يمكن أن يسببه المخدر من الفئة "أ" مع مرور الوقت.
وكان متعاطي الكوكايين البالغ من العمر 45 عاما، يتصرف بشكل غريب، قبل أن يدرك المسعفون أنه يعاني من اعتلال دماغي عضلي سميك ناجم عن جرعة زائدة من المخدر من فئة "أ".
ولاحظ الأطباء أن قرنيتي عيني الرجل كانتا تتوسعان ومتفاعلتين سريعا مع الضوء، ولم يكن المريض قادرا على أداء مهام بسيطة فضلا عن أنه لم يتمكن من الاستجابة لأي أوامر.
وأوضحت الدكتورة ييلنيا عبد الله، التي عالجت الرجل الذي لم يكشف عن هويته: "إنه اضطراب نادر يمكن أن يسبب إعاقة كبيرة".
وأشارت إلى أن تقرير الحالة الطبية يدفع إلى زيادة الوعي بهذا السلوك المدمر، قائلة إن تشخيص هذه الحالة نادر عموما لكنها قد تكون قاتلة سريعة، إلا أن بعضها يمكن أن يتعافى تماما، كما وقع مع حالة هذا الرجل.
وأرسل فريق الدكتورة ييلنيا المريض لإجراء فحوصات الرنين المغناطيسي على دماغه، وكشفوا عن أضرار للمادة البيضاء في الدماغ، وقام الأطباء بتشخيصه بالحالة النادرة الناجمة عن اعتلال بيضاء الدماغ السامة (ويسمى أيضا مرضة المادة البيضاء) الناجم عن الكوكايين، والذي يكون في أغلب الحالات المماثلة قاتلا.
وعالج الفريق المريض عن طريق إعطائه منشطات ووحدات لتبديل البلازما و الأجسام المضادة، كما تم نقله إلى منشأة لإعادة التأهيل، حيث ظهرت عليه علامات التحسن.
وبعد عام من الانقطاع عن تعاطي الكوكايين، عاد المريض للمعاينة، حيث وجد الأطباء عند فحص دماغه أنه ما تزال هناك "تغييرات دائمة في المادة البيضاء"، بينما كانت الاختبارات العصبية طبيعية.
