طرائف و منوّعات

تمت إعادة تابوت ذهبي مصري قديم لكاهن رفيع المستوى من العصر الفرعوني إلى الوطن من قبل السلطات التي تحقق في تهريب الآثار الدولية
20:45 - 2019/09/30
اكتشف علماء إن استخدام النظام التقنيني في برنامج غسالات الملابس، يشكل خطورة على صحة الإنسان، لأنه لا ي
16:15 - 2019/09/30
أصدرت محكمة في مدينة ديجون بشرق فرنسا قرارا يحظر إطلاق اسم جهاد على طفل حديث الولادة.
20:30 - 2019/09/29
شاركت فتاة بريطانية تبلغ 9 سنوات بترت ساقاها عندما كان عمرها 18 شهرا فقط، في أسبوع الموضة في باريس. 
20:30 - 2019/09/29
كشفت ملكة الجمال الروسية أوكسانا فوفودينا (27 عاماً) تفاصيل مثيرة بشأن طلاقها من ملك ماليزيا السابق محمد الخامس.
20:30 - 2019/09/29
أكد علماء جامعة نيو ساوث ويلز الأسترالية على أن الحياة على الأرض ظهرت قبل 3.5 مليار سنة، وأثبتوا أن ال
00:57 - 2019/09/29
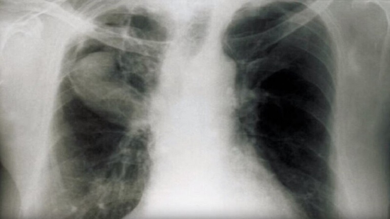
أصيب مواطن أمريكي من مدينة بارك-رابيدز بولاية مينيسوتا بمرض "الفطار البرعمي" الذي سببه نفس الفطر الذي
00:14 - 2019/09/29
أعلن لبنان أمس، الحداد الرسمي على الرئيس الفرنسي الأسبق، الراحل جاك شيراك في يوم دفنه في الـ30 من سبتمبر الجاري.
20:30 - 2019/09/28
كشف جواد نصر الله نجل أمين عام حزب الله اللبناني، عن الطريقة التي يعد بها والده حسن نصر الله خطاباته.
20:30 - 2019/09/28
بدأ رئيس السلفادور، نجيب أبو كيلة، خطابه من منصة الجمعية العامة للأمم المتحدة، بالتحدث عن ضرورة تغيير شكل العمل الذاتي للمنظمة
20:30 - 2019/09/28